The Transcend Approach

Minimal-Prep Veneers

The art of transformation with restraint. A fraction of a millimeter of preparation. A world of difference in the result. Every veneer designed around your face, crafted by hand, bonded with precision.

How We Work

Our Approach to Minimal-Prep

The best veneer is the one that changes everything about your smile and nothing about your tooth. That tension — between transformation and preservation — is where our craft lives.

Minimal-prep is not a lesser version of traditional veneers. It is a more refined one. It demands greater precision in design, greater skill in ceramics, and a workflow where every fraction of a millimeter has been considered before a handpiece ever touches enamel.

Dr. Edher has spent over a decade refining this workflow, studying facial proportions, lip dynamics, and the interplay between teeth and light. The digital tools we use today make the process more predictable. But the eye, the judgment, the artistic vision — that comes from experience and an uncompromising standard for beauty.

The Process

Step by Step

01

Smile Design

Before anything physical begins, we design your smile digitally, mapping your facial proportions, evaluating your lip line, and determining the ideal shape, length, and alignment for each tooth. This is the blueprint that guides everything that follows.

02

Conservative Preparation

Guided by the digital design, your prosthodontist adjusts only what's necessary, often less than half a millimeter of enamel. Each tooth is prepared individually based on its position and the design requirements. Nothing is generic. Nothing is estimated.

03

In-House Fabrication

Your veneers are crafted by our ceramists in the same building, not sent to a factory. They work from the digital design, refining shade and translucency with direct input from your prosthodontist. Each veneer is layered, stained, and characterized by hand until it's indistinguishable from nature.

04

Precision Bonding

The final step is as critical as the first. Your prosthodontist bonds each veneer individually using advanced adhesive protocols, ensuring a seamless, durable, and invisible margin. The result is porcelain that looks and feels like it grew there.

Why Minimal-Prep

Why Minimal-Prep

Every millimeter of enamel you keep is strength you preserve. Enamel is irreplaceable — once it's gone, it's gone. Traditional veneer preparation removes a significant amount. Our approach removes as little as possible while achieving the same, often better, aesthetic result.

This is possible because of three things working together: digital design precision that eliminates guesswork, ceramic materials that perform at extreme thinness, and an in-house lab where every veneer is crafted with the understanding that less material means more skill is required.

The result is a veneer that's thinner, more conservative, and more beautiful — because restraint, when paired with mastery, produces the finest work.

The Sequence

From Start to Finish

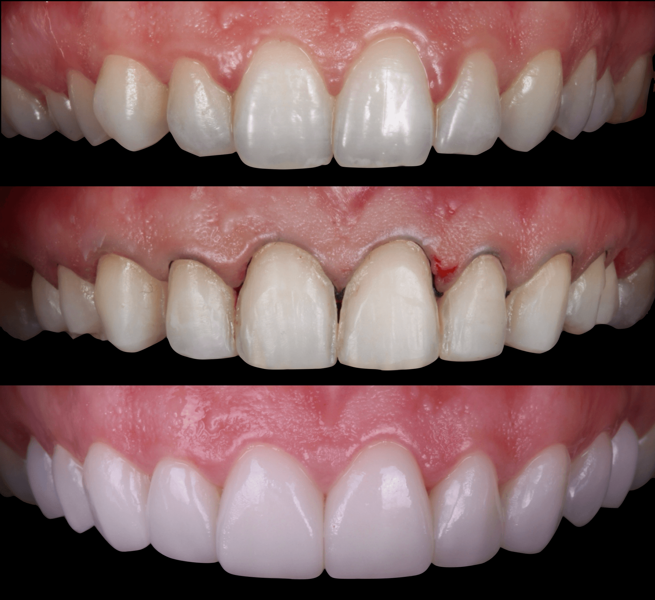
Minimal-prep veneers sequence — before, after preparation, and final result at Transcend Dentistry Vancouver

Before — After preparation — Final result. Less than 0.5mm of enamel adjusted.

Real Results

Minimal-Prep Transformations

8 Porcelain Veneers before and after - porcelain veneers Vancouver - Transcend Dentistry
Gummy Smile Treatment before and after — specialist dental care at Transcend Dentistry Vancouver

Common Questions

Good to Know

What are minimal-prep veneers?

Minimal-prep veneers involve gently reshaping a very small amount of enamel, often less than half a millimeter, to create space for a thin porcelain shell. This conservative approach preserves the vast majority of your natural tooth while allowing for more precise control over the final shape, alignment, and contour than no-prep veneers.

How much tooth is removed?

Typically less than 0.5mm, a fraction of the enamel layer. To put that in perspective, a credit card is about 0.8mm thick. Our digital workflow allows us to plan exactly how much needs to be adjusted for each individual tooth, removing only what's necessary and nothing more.

Why not just do no-prep instead?

No-prep works beautifully in certain situations, but not all. When teeth are crowded, slightly protruding, or need significant reshaping, a small amount of preparation allows the veneer to sit flush with your natural tooth line rather than building outward. The result looks more natural and feels more comfortable. We'll always recommend whichever approach gives you the best outcome.

Is minimal-prep better than traditional veneers?

Traditional veneer preparation removes significantly more tooth structure. Our minimal-prep approach achieves the same transformative results while preserving more of your natural enamel. This is possible because of advances in ceramic materials and bonding, and because our digital workflow lets us plan with extreme precision before any preparation begins.

Does it hurt?

Preparation is done under local anesthesia, so you won't feel pain during the procedure. Because so little enamel is adjusted, most patients experience minimal sensitivity afterward. Many are surprised by how gentle the process is compared to what they expected.

How long do minimal-prep veneers last?

With proper care, 10 years or more. The longevity of a veneer depends on the precision of the preparation, the quality of the bond, and the craftsmanship of the porcelain. By keeping everything in-house, from digital design to ceramics to bonding, we control every variable that affects how long your veneers last.

Book a Consultation

It starts with understanding your smile, and designing something worthy of it.

Back to Porcelain Veneers · No-Prep Veneers

Book a Consultation
Have a question? We're here.